கோரியோனிக்வில்லஸ்மாதிரி (சி.வி.எஸ்) சோதனைஎன்பதுகர்ப்பகாலத்தில்கருவில்வளரும்குழந்தைக்குகுரோமோசோம்சம்பந்தமானகுறைபாடுகள்ஏதேனும்உள்ளதாஎன்பதைஆய்வுசெய்துகண்டறிவதற்கானஒருசோதனைஆகும்.
கோரியானிக்வில்லிஎனப்படும்நஞ்சுக்கொடியின்மீதுசிறியவிரல்போன்றகணிப்புகள்எடுக்கப்பட்டுமரபணுபகுப்பாய்வுக்காகஆய்வகத்திற்குஅனுப்பப்படுகின்றன.நஞ்சுக்கொடிகர்ப்பகாலத்தில்வளரும்குழந்தைக்குஆக்ஸிஜன்மற்றும்ஊட்டச்சத்துக்களைவழங்குகிறதுமற்றும்குழந்தையின்இரத்தத்தில்உள்ளகழிவுப்பொருட்களைநீக்குகிறது. கோரியானிக்வில்லஸ்என்பதுகுழந்தையின்மரபணுஅமைப்பைப்பகிர்ந்துகொள்ளும்நஞ்சுக்கொடிதிசுக்களின்புத்திசாலித்தனமானகணிப்புகள்ஆகும்.
மாதிரிவயிற்றுசுவர்வழியாகஎடுக்கப்படுகிறது (டிரான்சப்டோமினல்).மரபணுமற்றும்குரோமோசோமால்அசாதாரணங்களைஅடையாளம்காணகோரியானிக்வில்லஸ்பகுப்பாய்வுசெய்யலாம்.கோரியானிக்வில்லஸ்கருவின்தோற்றம்கொண்டதாகஇருப்பதால், அவற்றைப்பரிசோதிப்பதன்மூலம், டவுன்சிண்ட்ரோம் (அல்லதுட்ரைசோமி 21), படாவ்சிண்ட்ரோம் (Patau syndrome) (டிரைசோமி 13), எட்வர்ட்ஸ்சிண்ட்ரோம் (Edward’s syndrome) (ட்ரிசோமி 18), டிரிப்ளோயிடிமற்றும்பிறமரபணுகோளாறுகள். இருப்பினும், நரம்புகுழாய்மற்றும்பிறஉடற்கூறியல்குறைபாடுகளை CVS சோதிக்கமுடியாது.
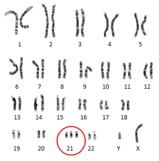
சோதனையானதுஒருகாரியோடைப்பைஉருவாக்குகிறது–குழந்தையின்குரோமோசோம்களின்படம்–இதுஏதேனும்அசாதாரணம்பற்றியவிரிவானதகவலைவழங்குகிறது.
சிவிஎஸ்தேர்வுசெய்யும்பெண்கள்பெரும்பாலும்மரபணுமற்றும்குரோமோசோமால்பிரச்சனைகளுக்குஅதிகஆபத்தில்உள்ளனர்.கூடுதலாக, சோதனைஆக்கிரமிப்புமற்றும்கருச்சிதைவுக்கானஒருசிறியவாய்ப்பைக்கொண்டுள்ளது.
சிவிஎஸ்பொதுவாககர்ப்பத்தின் 11 மற்றும் 13 வாரங்களுக்குஇடையில்செய்யப்படுகிறது– அம்னோசென்டெசிஸ் (நோயாளிகுறைந்தபட்சம் 16 வாரங்கள்கர்ப்பமாகஇருக்கவேண்டும்) போன்றபிறமகப்பேறுக்குமுந்தையநோயறிதல்சோதனைகளைவிடமுன்னதாகவேசெய்யப்படுகிறது.
குழந்தைக்குஒருமரபணுஅல்லதுகுரோமோசோமால்நிலைஇருக்கக்கூடியஅதிகஆபத்துஇருந்தால்மட்டுமே CVS வழங்கப்படுகிறது.

சி.வி.எஸ் சோதனை எப்போது பரிந்துரைக்கப்படுகிறது?
கருவில்வளரும்குழந்தைக்குமரபணுஅல்லதுகுரோமோசோம்சம்பந்தமானகுறைபாடுகள்ஏற்படக்கூடியஆபத்துஏதேனும்இருந்தால்மட்டுமேசி.வி.எஸ்சோதனைபரிந்துரைக்கப்படுகிறது.
பின்வரும்சூழ்நிலைகளில்இந்தசோதனைபரிந்துரைக்கப்படலாம்:
- டவுன்சிண்ட்ரோம், எட்வர்ட்ஸ்சிண்ட்ரோம்அல்லதுபடாவ்சிண்ட்ரோம்போன்றபிரச்சனைகள்இருக்கலாம்என்றுகர்ப்பபரிசோதனைபரிந்துரைத்துள்ளது.
- மேற்கூறியகுரோமோசோமால்பிரச்சனைகளுடன்தாய்ஏற்கனவேகர்ப்பமாகஇருந்தாள்.
- நோயாளிக்குதலசீமியா, சிஸ்டிக்ஃபைப்ரோஸிஸ்அல்லதுதசைநார்சிதைவுபோன்றமரபணுநிலையின்குடும்பவரலாறுஉள்ளது, மற்றும்/அல்லதுவழக்கமானஅல்ட்ராசவுண்ட்ஸ்கேன்செய்யும்போதுகுழந்தைக்குஒருஅசாதாரணம்கண்டறியப்பட்டது. 37 வயதுக்குமேற்பட்டபெண்களுக்குகுரோமோசோமால்குறைபாடுகள்உள்ளகுழந்தைகளைப்பெறுவதற்கானஅதிகஆபத்துஇருப்பதால், நோயாளி 37 வயதுக்குமேற்பட்டவர்.
- நோயாளிஅல்லதுஅவரதுதுணைக்குமரபணுகோளாறுஉள்ளது.
- நோயாளிஅல்லதுஅவரதுபங்குதாரர்ஒருமரபணுக்கோளாறின்குடும்பவரலாற்றைக்கொண்டுள்ளார்.
- நோயாளிக்குமரபணுஅல்லதுஉயிர்வேதியியல்கோளாறுகள்உள்ளமற்றகுழந்தைகள்உள்ளனர்.
நோயாளிக்கு CVS இருக்கவேண்டியதில்லைஎன்பதைநினைவில்கொள்வதுஅவசியம்.ஃபெடல்மெடிசின்ஸ்பெஷலிஸ்ட்வழங்கியதகவல்/ஆலோசனையின்அடிப்படையில்நோயாளிக்குஅதுவேண்டுமாஎன்பதைத்தீர்மானிக்கவேண்டும்.சோதனையானது 200க்கும்மேற்பட்டவெவ்வேறுமரபணுமற்றும்உயிர்வேதியியல்நிலைகளைக்கண்டறியமுடியும்.கர்ப்பகாலத்தில்ஆரம்பத்திலேயேபரிசோதனையைமேற்கொள்வது, கர்ப்பத்தின்சிலசிக்கல்கள்அல்லதுகர்ப்பத்தைநிறுத்துவதற்கானசாத்தியக்கூறுகளைசமாளிக்கத்தேவையானதகவலைபெற்றோருக்குவழங்குகிறது.
சி.வி.எஸ் சோதனை எந்த சூழ்நிலைகளில் பரிந்துரை செய்யப்படுவதில்லை?
- நோயாளிஒருசெயலில்தொற்றுஇருக்கும்போது
- கர்ப்பகாலத்தில்நோயாளிக்குயோனிஇரத்தப்போக்குஏற்பட்டால்
சி.வி.எஸ்செயல்முறைஎவ்வாறுசெய்யப்படுகிறது?
CVS இன்முக்கியகுறிக்கோள், நஞ்சுக்கொடியிலிருந்துஒருசிறியதிசுமாதிரியைப்பெறுவதாகும், இதுபகுப்பாய்வுக்காகஆய்வகத்திற்குஅனுப்பப்படும்.மாதிரியானதுஅடிவயிற்று (டிரான்சப்டோமினல்) வழியாகபிரித்தெடுக்கப்படும்.
அல்ட்ராசவுண்ட்சாதனம்அடிவயிற்றின்மேல்நகர்த்தப்பட்டு, ஒலிஅலைகளைக்கொடுக்கும்/எடுக்கும்.ஒருதிரையில்கருப்பை, குழந்தைமற்றும்நஞ்சுக்கொடிஆகியவற்றைப்படம்எடுக்கஒலிஅலைகள்பயன்படுத்தப்படுகின்றன.இந்தஅல்ட்ராசவுண்ட்அலைகள், மருத்துவர்ஊசியைவயிற்றுச்சுவர்மற்றும்கருப்பைவழியாகநஞ்சுக்கொடிக்குஅழைத்துச்செல்லஉதவும்.கோரியானிக்வில்லஸ்செல்களின்மாதிரியைசேகரிக்கஊசிபயன்படுத்தப்படுகிறது.
செயல்முறைக்குமுன், நோயாளிகர்ப்பம்எவ்வளவுதூரம்உள்ளதுஎன்பதைஉறுதிப்படுத்தஅல்ட்ராசவுண்ட்செய்து, சோதனைக்குஒருநல்லமாதிரியைப்பெறுவதுசாத்தியமாஎன்பதைஉறுதிப்படுத்திக்கொள்ளவேண்டும்.
செயல்முறையின்போதுகுழந்தைவளரும்அம்னோடிக்சாக்தொந்தரவுசெய்யாது.செயல்முறைதொடக்கத்திலிருந்துமுடிக்கசுமார் 20 முதல் 30 நிமிடங்கள்ஆகும், மேலும்பிரித்தெடுத்தல்சிலநிமிடங்கள்மட்டுமேஆகும்.இருப்பினும், சிலநோயாளிகள்வயிற்றுப்பகுதியில்சிலவலிஅல்லதுஅசௌகரியத்தைஅனுபவிக்கலாம்.
செயல்முறைமுடிந்ததும், மருத்துவர்குழந்தையின்இதயத்துடிப்பு, நோயாளியின்இரத்தஅழுத்தம்ஆகியவற்றைஆராய்கிறார்.

சி.வி.எஸ் சோதனை எந்த வகையான சிக்கல்களைக்கண்டறிகிறது?
சி.வி.எஸ்சோதனைபின்வரும்சிக்கல்களைகண்டறியஉதவும்:
டவுன்சிண்ட்ரோம், டிரிசோமி 13, டிரிசோமி 18, மற்றும்பாலியல்குரோமோசோம்அசாதாரணங்கள் (டர்னர்சிண்ட்ரோம்போன்றவை) உட்படகிட்டத்தட்டஅனைத்துகுரோமோசோமால்அசாதாரணங்களும். சோதனைஇந்தநிலைமைகளைகண்டறியமுடியும், ஆனால்அவற்றின்தீவிரத்தைஅளவிடமுடியாது.
பலநூறுமரபணுகோளாறுகள்.அவைஅனைத்தையும்கண்டறியஇந்தசோதனைபயன்படுத்தப்படுவதில்லை, ஆனால்குழந்தைக்குஏதேனும்குறிப்பிட்டமரபணுநிலைஏற்படும்அபாயம்இருந்தால், குழந்தைக்குநோய்இருக்கிறதாஎன்பதை CVS பொதுவாகக்கூறலாம்.
CVS விஷயத்தில், தெளிவற்றமுடிவைப்பெற 1 முதல் 2 சதவீதம்வாய்ப்புஉள்ளதுஎன்பதைகவனத்தில்கொள்ளவேண்டும்.இதுவரையறுக்கப்பட்டநஞ்சுக்கொடிமொசைசிசம்என்றுஅழைக்கப்படுகிறது, இதில்நஞ்சுக்கொடியிலிருந்துவளர்க்கப்பட்டசிலசெல்கோடுகள்அசாதாரணகுரோமோசோம்களைக்கொண்டிருக்கின்றன, மேலும்சிலஇயல்பானவை. CVS மொசைசிசத்தைக்கண்டறிந்தால், நோயாளிஅம்னோசென்டெசிஸ்மற்றும்குழந்தைபாதிக்கப்பட்டுள்ளதாஎன்பதைத்தீர்மானிக்கமற்றொருபரிசோதனையைப்பெறவேண்டும்.
மரபணுகோளாறுஉள்ளகுழந்தையைப்பெறுவதற்கானஆபத்துக்கானகாரணங்கள்யாவை?
இந்தசிக்கல்களுக்கானசிலமுக்கியமானகாரணங்கள்பின்வருமாறு:
- டவுன்சிண்ட்ரோம்ஸ்கிரீனிங்முடிவுகள்
- நோயாளிக்குமுதல்-மூன்றுமாதஸ்கிரீனிங்அல்லதுநுகல்ஒளிஊடுருவக்கூடியஸ்கிரீனிங்இருந்தது, இதுகுழந்தைக்குடவுன்சிண்ட்ரோம்அல்லதுமற்றொருகுரோமோசோமால்பிரச்சனைக்குஅதிகஆபத்தில்உள்ளதுஎன்பதைக்குறிக்கிறது.
- அல்ட்ராசவுண்ட்முடிவுகள்
- ஆரம்பகாலஅல்ட்ராசவுண்ட், குழந்தைக்குகுரோமோசோமால்பிரச்சனையுடன்தொடர்புடையகட்டமைப்புகுறைபாடுகள்இருக்கலாம்என்றுகாட்டியது.
- கேரியர்ஸ்கிரீனிங்முடிவுகள்
- நோயாளிமற்றும்அவரதுபங்குதாரர்இருவரும்பின்னடைவுமரபணுகோளாறின்கேரியர்கள்.
- நோயாளிவரலாறு
- நோயாளிமுன்புஒருமரபணுஇயல்பற்றகுழந்தையுடன்கர்ப்பமாகஇருந்தார், மேலும்இதுமீண்டும்நிகழும்அதிகஆபத்தில்இருக்கலாம்.
- குடும்பவரலாறு
- நோயாளிஅல்லதுஅவரதுபங்குதாரர்ஒருகுரோமோசோமால்அசாதாரணம், மரபணுகோளாறுஅல்லதுகுடும்பவரலாறுஆகியவற்றைக்கொண்டுள்ளார், இதுகுழந்தையின்மரபணுபிரச்சனைகளின்அபாயத்தைஅதிகரிக்கிறது.
- வயது
- எவரும்குரோமோசோமால்அசாதாரணத்துடன்குழந்தைபெறலாம், ஆனால்தாயின்வயதுக்குஏற்பஆபத்துஅதிகரிக்கிறது. உதாரணமாக, டவுன்சிண்ட்ரோம்கொண்டகுழந்தையைசுமக்கும்வாய்ப்பு 25 வயதில் 1,200 இல் 1 முதல் 40 வயதில் 100 இல் 1 வரைஇருக்கும்.
CVS செயல்முறைக்குப்பிறகுஎன்னநடக்கும்?
இலேசானதசைப்பிடிப்புமற்றும்பிறப்புறுப்புபுள்ளிகள்இருப்பதுமற்றும்செயல்முறைக்குப்பிறகுமுதல்அல்லதுஇரண்டுநாட்களுக்குசிறிதுஅம்னோடிக்திரவம்கசிவதுஇயல்பானது.
CVS கவனிக்கவேண்டியமுக்கியவிஷயங்கள்!
- குழந்தையின்செல்கள்சாதாரணமாகஇருந்தாலும், அரிதானசந்தர்ப்பங்களில்கோரியானிக்வில்லஸ்செல்கள்அசாதாரணமரபணுப்பொருளைக்கொண்டிருக்கலாம். இதுதவறானநேர்மறைமுடிவுஎன்றுஅழைக்கப்படுகிறது. ஒருஅசாதாரணசோதனைமுடிவுஅம்னோசென்டெசிஸ்மூலம்உறுதிப்படுத்தப்படவேண்டும்.
- நோயாளியின்இரத்தம்குழந்தையின்இரத்தத்துடன்கலக்கஅனுமதிக்கும் CVS இரத்தப்போக்குஏற்படுவதற்கானமிகக்குறைந்தவாய்ப்புஉள்ளது. நோயாளிக்கு Rh-எதிர்மறைஇரத்தம்இருந்தால், அவருக்கு Rh இம்யூனோகுளோபுலின்தடுப்பூசிவழங்கப்படும். இது Rh உணர்திறனைத்தடுக்கலாம், குழந்தைக்கு Rh- நேர்மறைஇரத்தம்இருந்தால்குழந்தைக்குதீங்குவிளைவிக்கும்.
- குழந்தைக்குபிரச்சனைஇருப்பதாக CVS கண்டறிந்தால், மகப்பேறுமருத்துவர்மற்றும்மரபணுஆலோசகரிடம்பேசுவதுநல்லது. நோயாளியின்உடல்நலப்பிரச்சினைமற்றும்குழந்தைபிறக்கும்போதுஎன்னஎதிர்பார்க்கலாம்என்பதைப்புரிந்துகொள்ளஅவைஉதவுகின்றன.
கோரியானிக்வில்லஸ்மாதிரி (சிவிஎஸ்) குறித்துஉங்கள்கேள்விகள்
கோரியோனிக்வில்லஸ்மாதிரி (CVS) எந்தமாதம்செய்யவேண்டும்?
சிவிஎஸ்பொதுவாககர்ப்பத்தின் 11 முதல் 14 வாரங்களுக்குஇடையில்செய்யப்படுகிறது.
சிவிஎஸ்பரிசோதனைவலிமிகுந்ததா?
கோரியோனிக்வில்லஸ்மாதிரிபொதுவாகவலிமிகுந்ததாகஇருக்காது.
கோரியானிக்வில்லஸ்மாதிரிஎவ்வாறுசெய்யப்படுகிறது?
கோரியோனிக்வில்லஸ்ஒருஊசிஉங்கள்தோல்வழியாககருப்பையில்செருகப்பட்டுஅல்ட்ராசவுண்ட்ஸ்கேனில்உதவியின்மூலம், படத்தைப்பயன்படுத்திநஞ்சுக்கொடிக்குவழிகாட்டப்படுகிறது. இதுகோரியோனிக்வில்லஸ்இருந்துஒருசிறியமாதிரிசெல்களைஎடுக்கபயன்படுகிறது.
சிவிஎஸ்சோதனைஎவ்வளவுதுல்லியமானது?
சிவிஎஸ்ஒவ்வொரு 100 பெண்களில் 99 பேருக்கும்சோதனைமுடிவைஅளிக்கிறது.
கோரியோனிக்வில்லஸ்மாதிரியின்நோக்கம்என்ன?
கோரியோனிக்வில்லஸ்சாம்பிளிங் (சிவிஎஸ்) என்பதுபிறக்காதகுழந்தையின்குறிப்பிட்டஅசாதாரணங்களைகண்டறியகர்ப்பகாலத்தில்மேற்கொள்ளப்படும்ஒருசோதனைஆகும்.மற்றும்மரபணுகுறைபாடுகள்சோதிக்கப்படுகிறது.