கருவளர்ச்சிஸ்கேன், சிலநேரங்களில் நல்வாழ்வுஸ்கேன் அல்லது பொசிஷனிங்ஸ்கேன் என்றுஅழைக்கப்படுகிறது, இதுதாய் 23 முதல் 40 வாரங்களுக்கு இடையில் கர்ப்பமாகஇருக்கும்போது நிகழ்கிறது. இதுகுழந்தை எவ்வளவுநன்றாக வளர்கிறது மற்றும் கருப்பை (கருவின்) நிலையை சரிபார்க்கிறது.
கருவளர்ச்சிஸ்கேன் செய்யும்போது, மருத்துவர் குழந்தையின் நிலையைச்சரிபார்க்கிறார், இதுபிரசவமுறையைத்தீர்மானிக்கிறது. குழந்தையின் தலைநிலையைப்பார்ப்பதன் மூலம் இது கண்காணிக்கப்படுகிறது. இதுதவிர,
- நஞ்சுக்கொடியின் நிலையை பதிவுசெய்கிறது
- குழந்தையைச்சுற்றியுள்ள அம்னோடிக்திரவத்தின் அளவைமதிப்பிடுகிறது
- வயிறு மற்றும் தொடை எலும்பை அளவிடவும்
- குழந்தையின் செயல்பாட்டை கவனிக்கிறது
- கருடாப்ளர்அல்ட்ராசவுண்ட் பயன்படுத்தி தொப்புள்கொடியில் இரத்தஓட்டத்தை அளவிடுகிறது
- குழந்தையின் கட்டமைப்பு உடல்வளர்ச்சிபற்றி ஆய்வுசெய்கிறது
தலைசுற்றளவு, அடிவயிற்றின் சுற்றளவுமற்றும் தொடைஎலும்பு அளவீடுகள்கருவின் எடையைமருத்துவர் மதிப்பிட அனுமதிக்கின்றன. உங்கள் third trimester மாதஸ்கேனில்கருவின் வளர்ச்சியைமதிப்பிடுவதற்கு அனைத்துஅளவீடுகளும் சாதாரணவரம்பிற்கு எதிராக ஒருவிளக்கப்படத்தில் திட்டமிடப்பட்டுள்ளன. குழந்தைகள்வாரத்திற்குவாரம் வெவ்வேறு விகிதங்களில் வளர்வதால், தொடர்ச்சியானஸ்கேன்கள் ஒன்றைவிடமிகவும் பயனுள்ளதாகஇருக்கும்.
ஏன் Third Trimester மாதத்தில் கருவளர்ச்சிக்கான ஸ்கேன் தேவைப்படுகிறது?
கர்ப்பத்தின் 28 வாரங்கள்மற்றும் 32 வாரங்களுக்குஇடையில் தாய்க்குவளர்ச்சிமற்றும் கருநல்வாழ்வுஸ்கேன்வழங்கப்படும். இதுகுழந்தைஎப்படிவளர்கிறதுஎன்பதை மருத்துவரிடம்காண்பிக்கும். Third Trimester மாதங்களில்ஸ்கேன் செய்வதற்கானபொதுவானகாரணம், குழந்தைசாதாரணமாக வளர்கிறதா என்பதைச்சரிபார்க்கவேண்டும்.
கருவளர்ச்சி ஸ்கேன் செய்யும்போது என்ன நடக்கிறது?
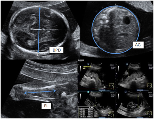
கருவின்வளர்ச்சியை ஸ்கேன்செய்யும்போது, கருவின்பல்வேறு அளவீடுகள்எடுக்கப்படுகின்றன. கர்ப்பிணிகள்ஸ்கேன் செய்யும்போது (கர்ப்பகாலவயது) கர்ப்பமாக இருக்கும்வாரங்களின் எண்ணிக்கைக்குஏற்ப அளவீடுகள்வளர்ச்சி அட்டவணையில் திட்டமிடப்பட்டுள்ளன. வளர்ச்சிஸ்கேனுக்காக எடுக்கப்பட்ட முக்கியகருவின் அளவீடுகள் பின்வருமாறு:
- இருமுனைவிட்டம் (BPD) தலைமுழுவதும் அளவிடப்படுகிறது
- தலைசுற்றளவு (HC) – தலையைச்சுற்றி அளவிடும்
- அடிவயிற்றுசுற்றளவு (AC) – அடிவயிற்றைச்சுற்றியுள்ள அளவீடுகள்
- தொடைஎலும்புநீளம் (FL) – தொடைஎலும்பின் நீளத்தை அளவிடுகிறது

கருவின்எடையின் (EFW) மதிப்பீட்டைமேற்கூறிய அளவீடுகளைஇணைத்து கணக்கிடலாம்.EFW ஆனது, கருசராசரியாக உள்ளதா, பெரியதா அல்லது அதன்கர்ப்பகாலவயதிற்கு சிறியதாஎன்பதை தீர்மானிக்கஉதவும் வரைபடத்தில் திட்டமிடப்பட்டுள்ளது. கருவின் எடைமதிப்பீடுவரை படத்தில் கீழே உள்ள 10% வரிக்குக்கீழே இருந்தால், அதுகர்ப்பகால வயதுக்கு (SGA) சிறியதாகக்கருதப்படுகிறது.கருவின் எடை வரைபடத்தில்முதல் 10 சதவீத வரிக்குமேல் இருந்தால், அதுகர்ப்பகாலவயதுக்கு (LGA) குறிப்பிடத்தக்கதாகக்கருதப்படுகிறது.
அதேகருவின் மீண்டும் மீண்டும் அல்ட்ராசவுண்ட் அளவீடுகள் மாறுபடலாம் மற்றும் மதிப்பிடப்பட்ட கருவின்எடை 20 சதவிகிதம்தவறாக இருக்கலாம் என்பதைக்கவனத்தில் கொள்ளவேண்டும்.
கர்ப்பகால வயதுக்கு சிறியது (SGA)
குழந்தைக்கு சராசரியானதலை அளவு உள்ளது, ஆனால்வயிறுவெட்டப்பட்டது. கர்ப்பகாலவயதிற்கு சிறியதாகக்காட்டப்படும் பெரும்பாலானகருக்கள் ஆரோக்கியமானவை, ஆனால்கர்ப்பத்தின் தொடக்கத்தில் இருந்துகுறைந்த வரம்பில்வளரும். நஞ்சுக்கொடியிலிருந்து குழந்தைக்குநல்ல உணவுகிடைக்காத போது இது ஏற்படலாம். எதிர்பார்த்தபடி வளரசிலருக்கு அல்ட்ராசவுண்ட் மதிப்பீடு தேவைப்படலாம்.பிற அல்ட்ராசவுண்ட் சோதனைகளும் செய்யப்படலாம், அதாவதுகருவைச்சுற்றியுள்ள அம்னோடிக்திரவத்தின் அளவைச்சரிபார்த்தல் மற்றும் தொப்புள் கொடியில் இரத்தஓட்டத்தை அளவிடுதல் (தொப்புள்தமனிடாப்ளர்).
கர்ப்பகால வயதுக்கு பெரியது (LGA)
குழந்தைசராசரியாகதலைஅளவைக்கொண்டிருக்கும்போதுஇதுஒருமுக்கியவயிற்றைக்கொண்டிருக்கும்.அவர்கள்நஞ்சுக்கொடியிலிருந்துநல்லஉணவுப்பொருட்களைப்பெறுகிறார்கள்.வளர்ச்சிஸ்கேன்மூலம்கர்ப்பகாலவயதுக்குபெரியதாகக்காட்டப்படும்பெரும்பாலானகருக்கள்பிறக்கும்போதேநன்குஊட்டமளித்துஆரோக்கியமாகஇருக்கும்.சிலசமயங்களில், கருபெரியதாகஇருப்பதற்கானஅடிப்படைக்காரணம், அம்னோடிக்திரவஅளவுஅதிகரிப்பு, தாய்வழிநீரிழிவு, அல்லதுமரபணுநோய்க்குறிபோன்றவை.
கருவளர்ச்சி ஸ்கேனில்செய்யப்படும் மற்றசெயல்முறை என்ன?
தேதிகள் சரியாக உள்ளதா: 20 வாரங்களுக்குப்பிறகு, குழந்தைகள் அளவுமற்றும் வடிவத்தில் தனித்தனியாக மாறுகிறார்கள். 34 வாரங்களில் குழந்தை சராசரியைவிட சிறியதாகவோ அல்லது பெரியதாகவோ இருந்தால், அதுகுழந்தை சிறியது அல்லதுபெரியது என்று அர்த்தமல்ல. நிலுவைத்தேதி 20 வாரங்களுக்குள் நிறுவப்படவேண்டும்.
இரத்தப்போக்கு எங்கிருந்துவருகிறது: Third Trimester மாதங்களில் இரத்தப்போக்கு கருப்பைவாயில் இருந்து அல்லது கருப்பையின் உள்ளேவரலாம். ஒருஸ்கேன்குழந்தை இரத்தப்போக்கினால் பாதிக்கப்படவில்லை என்பதை உறுதிப்படுத்தமுடியும், ஆனால்ஸ்கேன் அதன்காரணத்தை அரிதாகவே பார்க்கமுடியும். குறைந்தநஞ்சுக்கொடிகாரணமாக இருந்தால் மட்டுமே ஸ்கேன் மூலம் காரணத்தைக்கண்டறியமுடியும்.
குழந்தையின் எடை எவ்வளவு: குழந்தைபெரியதாகவும், காலத்தைநெருங்கநெருங்க, எடையை மதிப்பிடுவது கடினமாகும்.
கருவின்வளர்ச்சி ஸ்கேன் எவ்வளவு துல்லியமானது?
கர்ப்பத்தின் முதல்பாதியில் குழந்தையின் அளவைமதிப்பிடுவதற்கு ஸ்கேன்பொதுவாக துல்லியமாக இருக்கும். தாய்கர்ப்பத்தின் பிற்பகுதியில் இருக்கும்நேரத்தில், குழந்தைசிறியதாக அல்லதுசராசரி அளவில் இருக்கும் வரைஸ்கேன் துல்லியமாக இருக்கும்.பிரசவதேதியை நெருங்கநெருங்க, குழந்தை பெரியதாக இருந்தால், அளவீடுகளை பதிவு செய்வதுகடினமாக இருக்கும். கர்ப்பத்தின்பிற்பகுதியில் குழந்தையின்தலை ஒரு அளவீட்டைப்பெறுவதற்கு இடுப்புப்பகுதியில்மிகவும் குறைவாகஇருக்கலாம்.குழந்தையின் வயிற்றை அளவிடமுடிந்தாலும், குழந்தையின் நீளம்போன்ற பிறகாரணிகளைக்கருத்தில் கொள்வது கடினமானது.
கருவளர்ச்சி கட்டுப்பாடு (FGR) என்றால் என்ன?
கருவளர்ச்சிக்கட்டுப்பாடு (FGR) என்பது பிறப்பதற்கு முன்போதுமான அளவுவளராத கருவைவிவரிக்கப்பயன்படுத்தப்படும் சொல்.அல்லதுஉங்கள்கர்ப்பத்தின் பிற்பகுதியில்குழந்தையின் வளர்ச்சியில்வீழ்ச்சி ஏற்பட்டால். இது கருப்பைவளர்ச்சி கட்டுப்பாடு (IUGR) என்றும் அழைக்கப்படுகிறது, மேலும் குழந்தைகள் வளர்ச்சிகட்டுப்படுத்தப்பட்ட குழந்தைகள்என்று அழைக்கப்படுகிறது.
இரண்டு அல்லது அதற்குமேற்பட்ட அல்ட்ராசவுண்ட்கள் செய்யப்பட்ட பின்னரே FGR வெளிப்படும்.அல்ட்ராசவுண்ட் அளவீடுகளின் மாறுபாடு காரணமாக, கருவின்வளர்ச்சிஸ்கேன்களுக்கு இடையேகுறைந்தபட்சம் இரண்டு வாரங்கள் தேவைப்படுகிறது.தொப்புள் கொடியின் இரத்த ஓட்டம் மாற்றங்கள் மற்றும் அம்னோடிக்திரவ அளவுகுறைதல் ஆகியவை FGR ஐக்குறிக்கும்மற்ற அறிகுறிகளாகும்.
கருவின்வளர்ச்சி தடைக்கு என்ன காரணம்?
FGR இன்அடிப்படைக்காரணங்களில் சில பின்வருவனவற்றை உள்ளடக்குகின்றன:
- நஞ்சுக்கொடி பற்றாக்குறை – வளரும்கருவுக்கு போதுமான ஊட்டச்சத்தைநஞ்சுக்கொடி வழங்கத்தவறினால்.
- கருவின்அசாதாரணம் – சிலகருவின் அசாதாரணங்கள் தாமதமானவளர்ச்சியுடன் தொடர்புடையவை.
- பலகர்ப்பம் – ஒன்று அல்லது அதற்கு மேற்பட்டகருக்களை பாதிக்கலாம்.
- தாயின்தொற்று, உதாரணமாக, சைட்டோமெலகோவைரஸ் – Cytomegalovirus (CMV).
- மோசமான ஊட்டச்சத்து.
- புகைபிடித்தல், மது, தடைசெய்யப்பட்டமருந்துகள்மற்றும்சிலமருந்துகள்.
- உயர் இரத்த அழுத்தம்மற்றும் நீரிழிவு போன்ற தாயைப்பாதிக்கும் மருத்துவநிலைமைகள்.
கருவளர்ச்சிக்கட்டுப்பாடு எவ்வாறு நிர்வகிக்கப்படுகிறது?
கருவின் வளர்ச்சிஸ்கேன் சில முரண்பாடுகளைக்காட்டினால், மருத்துவர் சோதனைகளை பரிந்துரைக்கலாம். வழங்கப்படும் சோதனைகளில் பின்வருவன அடங்கும்:
- பெரியகட்டமைப்பு அசாதாரணங்களை சரிபார்க்க நீட்டிக்கப்பட்ட அல்ட்ராசவுண்ட்மதிப்பீடு
- குழந்தைக்கு குரோமோசோமால் இயல்பற்றதன்மை உள்ளதா என்பதைக்கண்டறிய அம்னோசென்டெசிஸ்
- தொற்றுநோயை சரிபார்க்க ஒருதாயின் இரத்தபரிசோதனை.
வழக்கமான அல்ட்ராச வுண்ட் மூலம் கர்ப்பம் நெருக்கமாக கண்காணிக்கப்படும்:
- நடந்துகொண்டிருக்கும்கருவளர்ச்சி (பொதுவாக ஒவ்வொரு இரண்டுவாரங்களுக்கும்)
- டாப்ளர் அல்ட்ராசவுண்ட் பயன்படுத்தி தொப்புள்தமனி இரத்தஓட்டம்
- சுட்டிக்காட்டப்பட்ட மற்ற இரத்த ஓட்டம் டாப்ளர் ஆய்வுகள்
- அம்னோடிக்திரவ அளவு.
கார்டியோடோகோகிராஃப் (CTG) மூலம்கருவின் இதயதுடிப்பு கண்காணிப்பு செய்யப்படலாம்.கருவின் நிலைமோசமாக இருப்பதாகக்கருதப்பட்டு, கர்ப்பத்தின் தொடர்ச்சி பாதுகாப்பானதாகக்கருதப்படாவிட்டால், பிரசவம்கருதப்படுகிறது.
ஒருதாய்தனது Third Trimester மாதங்களில் கூடுதல்ஸ்கேன் செய்ய பரிந்துரைக்கப்படலாம்:
- கருவின் இயக்கங்கள் குறைவதாக இருப்பதைதாய் உணரும்போது
- குழந்தைப்ரீச், சாய்ந்த அல்லதுகுறுக்குநிலையில் உள்ளது. துல்லியமாகச்சொல்வதானால், பிரசவ நேரம் நெருங்கும் போது குழந்தையின் தலைகீழே இருக்கவில்லை என்றால்.
- தாய்இரட்டை அல்லது அதற்குமேற்பட்ட குழந்தைகளை சுமக்கும்போது
- அம்னோடிக்திரவத்தின் அளவு இருக்க வேண்டியதை விட அதிகமாகவோ அல்லது குறைவாகவோ இருக்கும் போது
- கருவின் வளர்ச்சியை ஸ்கேன் செய்வதில், கர்ப்பகால வயதிற்கு எதிர்பார்த்ததை விடகுழந்தை சிறியதாக அல்லது பெரியதாக இருக்கும் போது .
- தாழ்வான நஞ்சுக்கொடி இருக்கும்போது.